AI-Powered Portable MRI in Neurology Clinics

Hyperfine-Swoop-Day-2_0302259825.jpg
Hyperfine-Swoop-Day-2_0302259696.jpg
Hyperfine-Swoop-Day-2_0302259733.jpg
Hyperfine-Swoop-Day-2_0302259080.jpg
Hyperfine-Swoop-Day-2_0302259274.jpg
Hyperfine-Swoop-Day-2_0302258789.jpg
Hyperfine-Swoop-Day-2_0302259935.jpg
Hyperfine-Swoop-Day-2_0302259396.jpg

Bringing advanced imaging directly to your patients, in your exam room.

Color:
v2-specialty-neurology-clinic-the-swoop-system-is-an-affordable-plug-and-play-brain-mri-solution-for-your-neurology-practice

The Swoop® system is an affordable, plug-and-play brain MRI solution for your neurology practice

Color:
v2-specialty-neurology-clinic-comprehensive-care-rapid-results

Comprehensive Care, Rapid Results

Convenient brain MRI exams

Convenient brain MRI exams available directly in the office.

Minimize wait times

Minimize wait times, provide fast results, and give patients peace of mind.

Comfortable experience

Comfortable experience with a quieter, open design that allows loved ones to stay close by.

Color:
v2-specialty-neurology-clinic-favorable-practice-economics

Favorable Practice Economics

Expand your services

Expand your services and add a revenue stream within your practice.

Eligible for CMS reimbursement

Eligible for CMS reimbursement with IAC Accreditation under existing codes (CPT 70551).

Attract referrals

Attract referrals by offering cutting-edge technology.

Color:
v2-specialty-neurology-clinic-hassle-free-implementation

Hassle-Free Implementation

Safe for office use

With ultra-low-field magnet strength, the Swoop system is safe to operate right in your exam room.

Ready to deploy

No specialized siting, helium, electrical infrastructure, or MR technologist required.*

Simple setup

Plug into a standard outlet, and within two minutes, start scanning using the intuitive tablet interface.

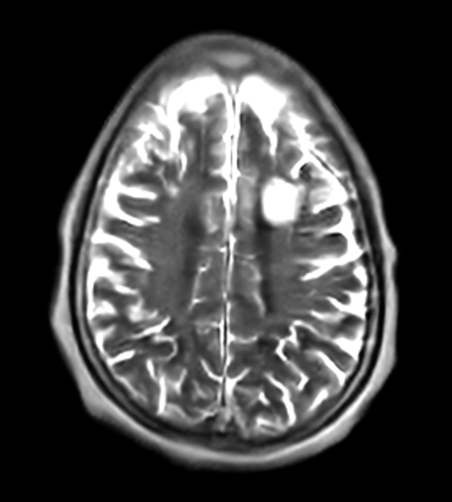
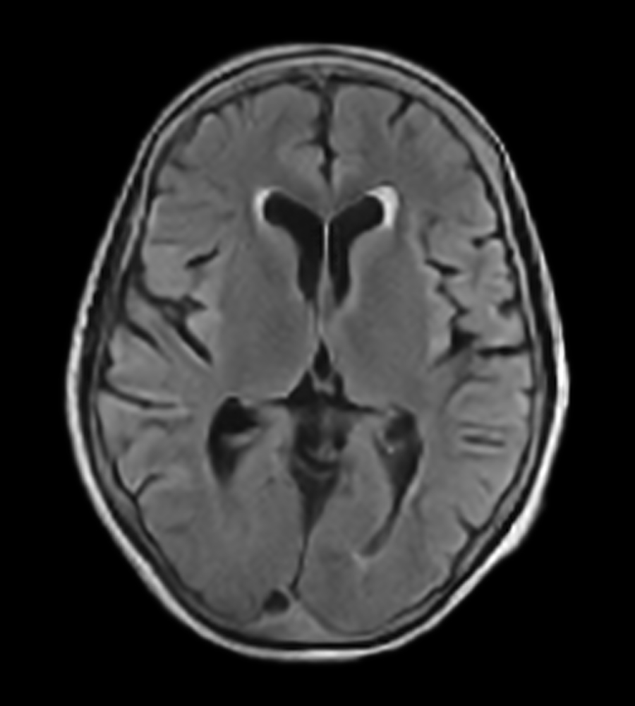
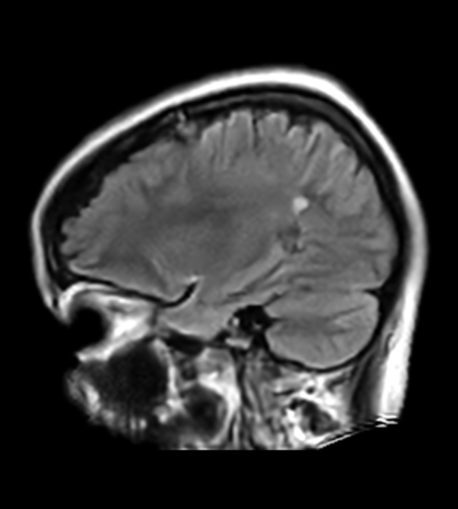
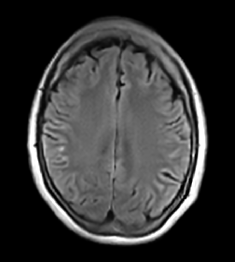
Clinical Images

Clinical Case Types: Headache, Migraine, Multiple Sclerosis, Microvascular Disease, and Tumor Routine Follow-up.

Headache
Headache
Migraine
Migraine
Multiple Sclerosis
Multiple Sclerosis
Microvascular Disease
Microvascular Disease
Tumor Routine Follow-up
Tumor Routine Follow-up
Color:

*IAC Standards and Guidelines for MRI Accreditation. State regulations vary.